Papilledema due to iron-deficiency anemia
Simran Singh Mangat, MD, MBChB, Wirral University Hospital, Merseyside, United Kingdom
WE REPORT a case of presumed idiopathic intracranial hypertension (IIH) resolving with treatment of irondeficiency anemia. Treatment consisted of solely correcting the iron-deficiency anemia without using other
medications or procedures to treat IIH. Considering both these conditions are relatively common, this association
has only rarely been reported. It has been shown that anemic individuals with IIH suffer from visual deterioration more than those that are not anemic.1
CASE REPORT
A 13-year-old Asian girl complained of lethargy and menorrhagia after menarche. She also admitted to a gradual onset of a frontal headache with nausea. She denied any fever, neck stiffness, or any visual complaints.
On examination, visual acuity was 6/6 OD and OS. Anterior segment examination was normal. Fundoscopy
showed bilateral optic disc swelling (Figure 1). Investigations revealed a hemoglobin of 5.8g/dl, MCV 60.5, hematocrit 0.216, ferritin 2, and microcytic hypochromic cells. Magnetic resonance imaging (MRI) of the brain did not demonstrate any abnormality. A lumbar puncture, however, was not performed. Visual-field charting did not demonstrate any scotoma. She was treated for anemia initially with blood transfusion and subsequently with ferrous-sulphate tablets. One month after initiation of treatment, her 

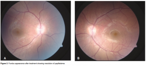
hemoglobin increased to 8.3g/dl, MCV 64.9, hematocrit 0.303. Two months after treatment, her hemoglobin was 10.4g/dl and MCV 69.5. Her headaches and papilledema had resolved (Figure 2).
DISCUSSION
This young girl had presumed idiopathic intracranial hypertension (IIH) since no lumbar puncture was
performed. This can be attributable to her iron-deficiency anemia as treatment of this resulted in resolution of her symptoms. No diuretics were used at any point during the course of the condition. IIH has been associated with anemia, in particular irondeficiency anemia. However, the evidence for this association is limited to case reports and case series. Controlled studies have not demonstrated anemia as a statistically significant cause of IIH.1 Most affected patients have been young females. It may be argued that both these conditions are common in this population; thus, this may not represent a causal relationship based on the current level of evidence. In a literature review of 17 cases by Biouse et al., most patients were young females with a mean hemoglobin of 5.4g/dl on presentation.2 This patient correlated with this finding. There was no visual disturbance in this case, but it has been shown that anemic individuals with IIH suffer from visual deterioration more than those that are not anemic.1 Thus, anemia should be recognized and treated early to
prevent poor long-term visual outcome. It is important to exclude central venous thrombosis in a patient presenting in this fashion with a normal MRI. Magnetic resonance venography was not carried out in this case because of low clinical suspicion and normal platelet counts throughout her clinical course. However,
it has been reported by Lin and associates that the occurrence of central venous sinus thrombosis was 9.4%
in 106 patients presumed to have IIH.4 Of the patients in this study who had central venous thrombosis, 90% had vascular risk factors for thrombosis. As a result, the percentage of venous sinus thrombosis may have been
artificially high. The pathophysiology behind this association between anemia and papilledema has not been clearly explained. Many hypotheses have been put forward. It has been thought a loss of iron dependent enzymes due to anemia may result in lowering oxygen carrying capacity with resultant papilledema and cerebral edema causing raised intracranial pressure.5 It is also known that iron-deficiency anemia can induce
a state of hyperviscosity and this has been postulated to increase venous sinus pressure without thrombosis.2
In this patient, iron-deficiency anemia was diagnosed prior to the papilledema being recognized, in contrast to the majority of cases. Anemia should be ruled out in those patients being treated for IIH who demonstrate visual disturbance and do not improve with conventional treatment.
References
1. Orcutt JC, Page NGR, Sanders MD. Factors affecting visual loss in benign intracranial hypertension. Ophthalmology 1984; 91: 1303-1313.
2. Giuseffi V, Wall M, Siegel PZ, Rojas PB. Symptoms and disease associations in idiopathic intracranial hypertension (pseudotumor cerebri): a case-control study. Neurology 1991; 41: 239-244.
3. Biouse V, Rucker JC, Vignal C, et al. Anemia and papilledema. Am J Ophthalmol 2003; 135: 437-446.
4. Lin A, Foroozan R, Danesh-Meyer HV, et al. Occurrence of cerebral venous sinus thrombosis in patients with presumed idiopathic intracranial hypertension. Ophthalmology 2006; 113: 2281-2284.
5. Saleh T, Green W. Bilateral reversible optic disc edema associated with irondeficiency anemia. Eye 2000; 14: 672-673.
